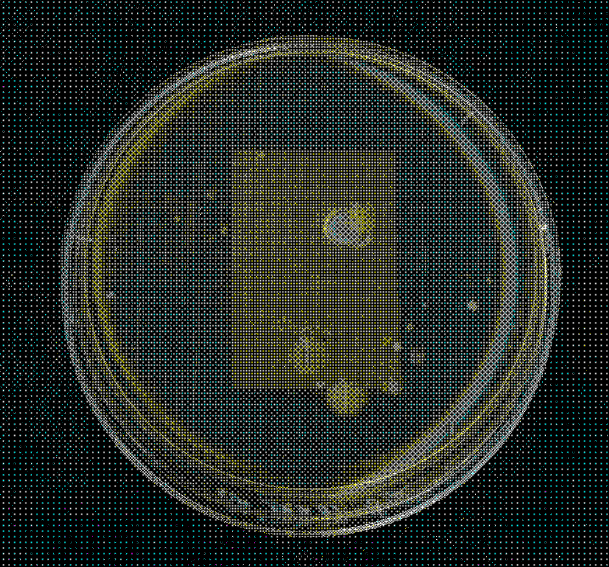
The existence and acknowledgment of non-human entities are essential within the Symbiocene. The use of petri dishes provides a simple way to visually represent the presence of these entities. By placing petri dishes in a spatial context over a certain period, non-human entities can emerge over time.

This experiment focuses on creating typographic letters/images through the use of petri dishes. The research is centred on the presence of non-human entities and the relationship between these entities and the design process. It involves a form of co-designing with other-than-human entities.

Alle benodigheden voor het experiment

(1/2)

Petri-Typografie_1

Alle benodigheden voor het experiment

(2/2)

Petri-Typografie_2

By consciously allowing for interaction between human and non-human entities, a co-creation emerges wherein new visual forms and meanings can arise. This experiment explores the possibilities of collaboration with non-human actors and underscores the importance of their presence in shaping designs. It opens the door to new perspectives and inspiring results that may otherwise remain unattainable.

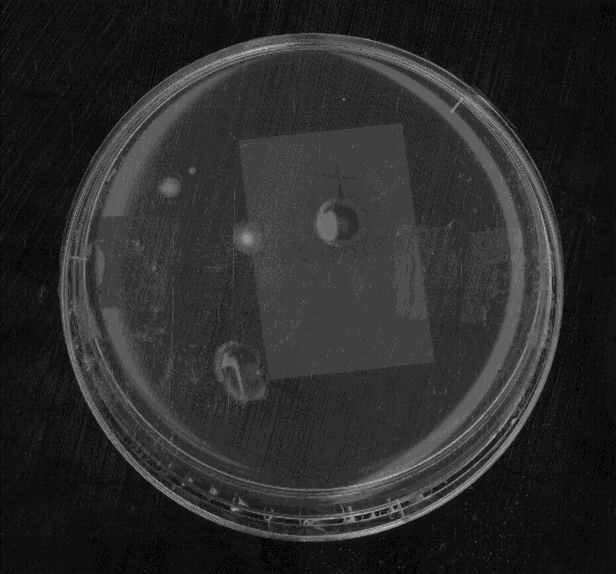
To begin with, I formed an 'S' with my own finger - derived from the word 'Symbiocene' - and left it standing for several days.

Dag 0

(1/6)

In_Contact_Komen

Dag 1

(2/6)

In_Contact_Komen

Dag 5

(3/6)

In_Contact_Komen

Dag 7

(4/6)

In_Contact_Komen

Dag 14

(5/6)

In_Contact_Komen

Dag 21

(6/6)

In_Contact_Komen

In the second example, the title of my project was written out. What was interesting about this attempt was that the result was different and more variable than in the first test. This is certainly not a negative outcome, but rather an illustration of the fact that as humans, we do not always have complete control. It demonstrates that there is no human sovereignty.

"H" Dag 0

(1/17)

Petri-Typografie

"E" Dag 0

(2/17)

Petri-Typografie

"T" Dag 0

(3/17)

Petri-Typografie

"B" Dag 0

(4/17)

Petri-Typografie

"E" Dag 0

(5/17)

Petri-Typografie

"T" Dag 0

(6/17)

Petri-Typografie

"A" Dag 0

(7/17)

Petri-Typografie

"A" Dag 0

(8/17)

Petri-Typografie

"N" Dag 0

(9/17)

Petri-Typografie

"U" Dag 0

(10/17)

Petri-Typografie

"I" Dag 0

(11/17)

Petri-Typografie

"T" Dag 0

(12/17)

Petri-Typografie

"A" Dag 0

(13/17)

Petri-Typografie

"L" Dag 0

(14/17)

Petri-Typografie

"L" Dag 0

(15/17)

Petri-Typografie

"E" Dag 0

(16/17)

Petri-Typografie

Overzicht Dag 0

(17/17)

Petri-Typografie

The process of writing out the title has shown that there is room for unexpected variations and outcomes. This emphasises the interaction between humans and elements beyond our control, including non-human entities. Recognising this variability and embracing the diversity in results opens up new possibilities and perspectives within the design process.

"H" Dag 0

(1/2)

Petri-Typografie

"E" Dag 0

(2/2)

Petri-Typografie

This experience can teach us that as designers, we must collaborate with other-than-human entities and be open to the influences and forces that lie beyond our direct control. This allows us to make new and surprising discoveries and develop a deeper understanding of the symbiotic relationship between humans and other-than-human entities.

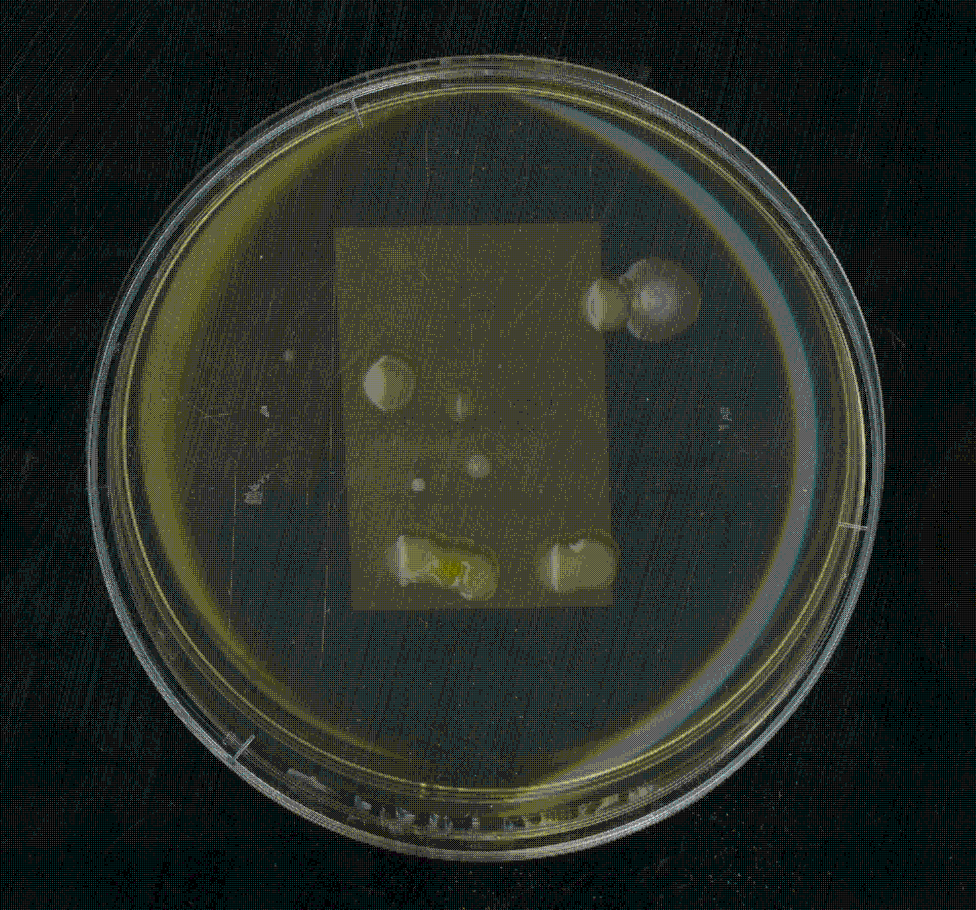
"H" Dag 8

(1/18)

Petri-Typografie

"E" Dag 8

(2/18)

Petri-Typografie

"T" Dag 8

(3/18)

Petri-Typografie

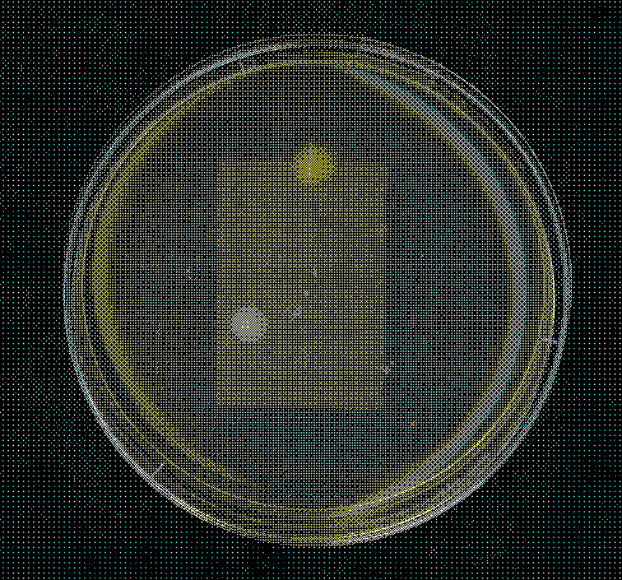
"H" Dag 8

(4/18)

Petri-Typografie

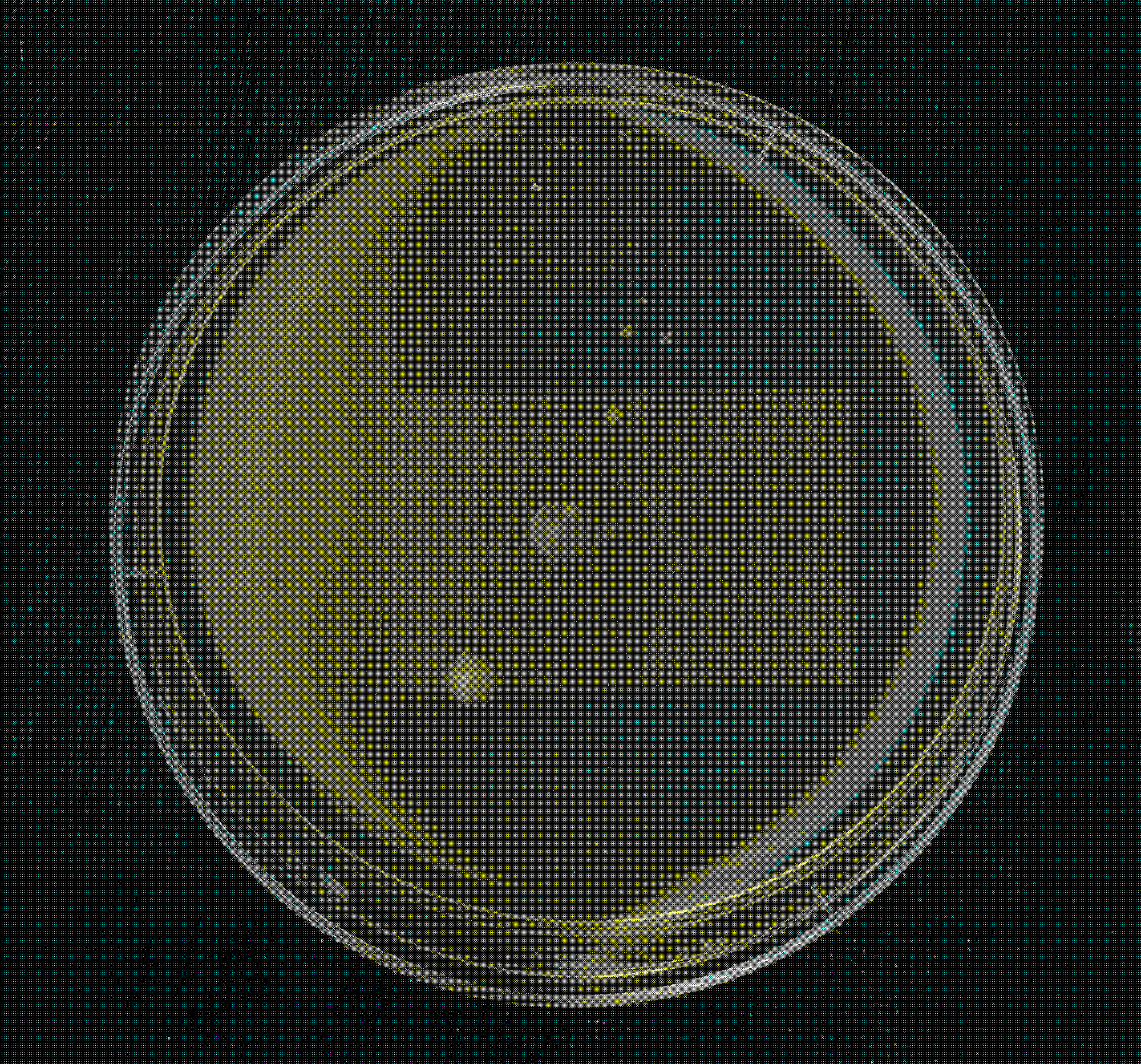
"E" Dag 8

(5/18)

Petri-Typografie

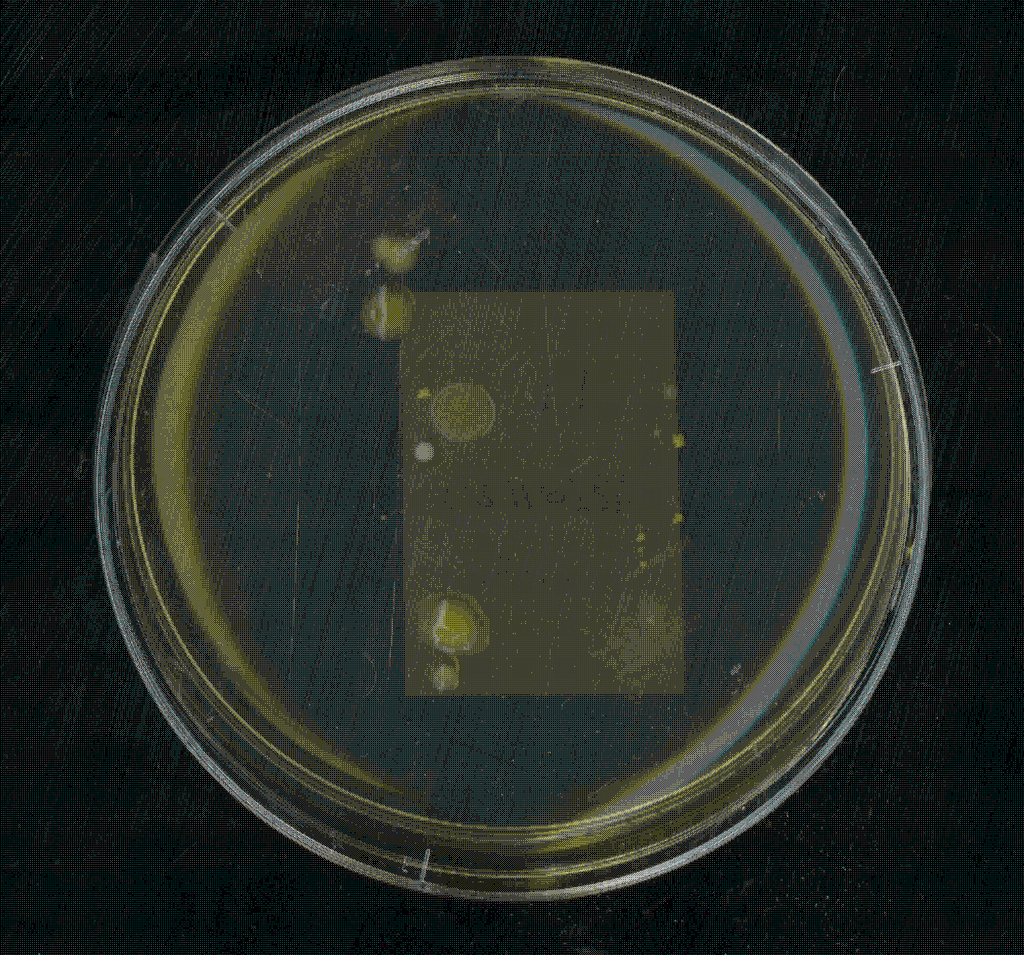
"T" Dag 8

(6/18)

Petri-Typografie

"T" Dag 8

(7/18)

Petri-Typografie

"T" Dag 8

(8/18)

Petri-Typografie

"T" Dag 8

(9/18)

Petri-Typografie

"T" Dag 8

(10/18)

Petri-Typografie

"U" Dag 8

(11/18)

Petri-Typografie

"I" Dag 8

(12/18)

Petri-Typografie

"T" Dag 8

(13/18)

Petri-Typografie

"A" Dag 8

(14/18)

Petri-Typografie

"L" Dag 8

(15/18)

Petri-Typografie

"L" Dag 8

(16/18)

Petri-Typografie

"E" Dag 8

(17/18)

Petri-Typografie

"N" Dag 8

(18/18)

Petri-Typografie

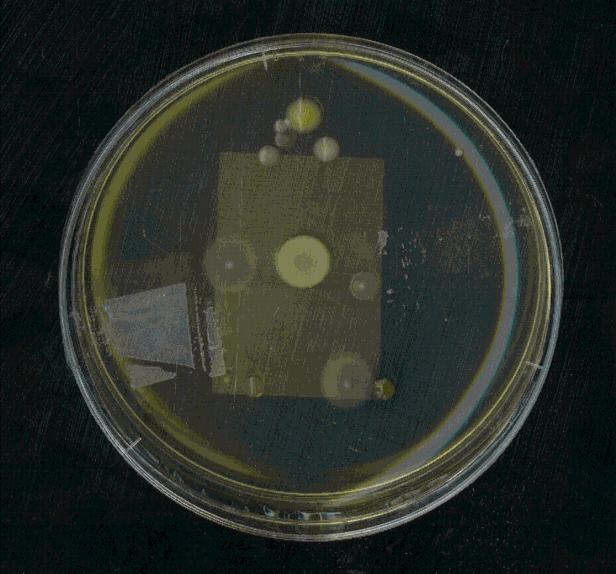
Throughout the process, there was a search for a suitable way to preserve the petri dishes effectively, preventing bacteria and fungi from further growth. Experimentation was conducted with pouring epoxy into the petri dishes to maintain the shape and achieve a pleasing presentation. Unfortunately, the result was not as desired, as the epoxy caused a reaction with the nutrient medium, resulting in a white layer.

Additionally, consideration had to be given to the principles central to the Symbiocene, emphasising collaboration between human and non-human entities and the use of environmentally friendly materials. Therefore, it is important to explore alternative methods for preserving the petri dishes in a sustainable and eco-friendly manner, aligning with the principles of the Symbiocene.

(1/8)

Petri-Typografie

(2/8)

Petri-Typografie

(3/8)

Petri-Typografie

(4/8)

Petri-Typografie

(5/8)

Petri-Typografie

(6/8)

Petri-Typografie

(7/8)

Petri-Typografie

(8/8)

Petri-Typografie

During the process, it became evident that the method I employed with the petri dishes has a timeframe of approximately one month, during which the letter images are clearly visible. The images I had created so far were no longer usable for my final presentation. To provide the audience with a good visualization during my final presentation, I decided to rewrite my title.

In this experiment, I made an important adjustment that I should have applied during the previous experiment as well. I stored the petri dishes that were not used in the refrigerator. This storage option helps preserve the agar agar better, allowing me to maintain the quality of the images throughout the entire process.

Parafilm om de petrischalen te sluiten

(1/6)

Petri-Typografie

Aanraking

(2/6)

Petri-Typografie

'Het'

(3/6)

Petri-Typografie

'Het'

(4/6)

Petri-Typografie

'Bestaan'

(5/6)

Petri-Typografie

'Allen'

(6/6)

Petri-Typografie

The final result of the research, which focuses on the presence of other-than-human entities and their relationship to the design process. Deliberately allowing space for interaction between human and other-than-human entities results in a co-creation that leads to new visual forms and meanings. This experiment explores the possibilities of collaboration with other-than-human actors and underscores their importance in shaping designs.

Final

(1/2)

Petri-Typografie

Final

(2/2)

Petri-Typografie